Les aphtes
Articles similaires
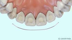
Contention de Hawley
Vidéos 3D
L'hygiène en orthodontie
Vidéos 3D
1 Chemin de l'Abbaye
74940
Annecy-Le-Vieux
| Lundi | 8h30 - 11h50, 13h - 18h30 |
| Mardi | 8h30 - 11h50, 13h30 - 18h30 |
| Mercredi | 8h30 - 11h50, 13h30 - 18h30 |
| Jeudi | Fermé |
| Vendredi | 8h30 - 11h50, 13h - 18h30 |
| Samedi | Fermé |
| Dimanche | Fermé |
Vidéo en cours de lecture